お電話でのお問い合わせ048-932-3139
院長の吉田です。
先日来院された70代女性。
転んで手をついて負傷されました。
身体の下に手が入ってしまったとか??
受傷後翌日に来院されましたが、かなり腫れてました。
手首もうまく動かせません。
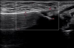
エコーで見ると・・・

背側(手の甲側)こんな感じです。
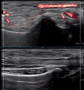
掌側(手のひら側)からみるとこんな感じです。

上下の違いわかりますか??
上の画像が折れている手・下の画像が折れてい方
オレンジの線が曲がっているのわかりますか?
背側からみて、これなら大丈夫だ。
折れてないと思ったら・・・・
折れてました(泣)
顧問医の先生にレントゲン検査をお願いし、
橈骨下端部骨折の診断を頂きました。
転移の少ない骨折です。
一応、整復したので転移の少ない骨折になったのでは?
なんて思っております。
しばらくギプス固定ですね。
毎日LIPUSを行い骨のつきを良くしていきましょう。

==========GWの予定==========
4月29日【水】午前中診療 9時~13時
5月 2日【土】午前中診療 9時~13時 午後臨時休診
4日【月】午前中診療 9時~13時
5日【火】午前中診療 9時~13時
6日【水】午前中診療 9時~13時
平日は通常診療です。
何かご不明な点はお気軽にお問い合わせ下さい。
【お知らせ】
※マイナンバーカードがご利用いただけます。
4月より高校生の医療費が無料になりました。
そのため、高校生の患者様が多くご来院されます。
当院は医療機関ではなく、施術所になりますので、草加市内の「こども医療費」受給者しか無料になりません。
市外の方は従来通りお金が掛かります。
明細書つき領収書を発行しますので、そちらを市役所にお持ち頂き手続きをお願い致します。
ご不明な点はお気軽にお問い合わせ下さい。
【ご来院される方へ】
当院は予約制ではありません。
具合の悪い方・初診の方はお気軽にお越し下さい。
健康保険診療をご希望の方はマイナンバーカードか健康保険証をお持ち下さい。
草加市内のお子様はこども医療費の受給者証(ピンクの用紙)をお持ち下さい。
病院でお薬や湿布を頂いている方は当院では施術できません。
また、他院では高額な回数券を販売しているところもあるようです。
当院ではその様なことはございません。安心してご来院ください。
【当院HP】
http://www.yy-s.jp/
【交通事故HP】
http://yy-jiko.jp/
━━━━━━━━━━━━━━━━━━━━━━━━━━━━━━━
《お蔭様で28周年》
よしだ整骨院 048-932-3139
〒340-0004 埼玉県草加市弁天1-26-32(そうかし べんてん)
施術管理者:吉田善行(柔道整復師)
【所属団体】
(公社)日本柔道整復師会
(公社)埼玉県柔道整復師会 草加八潮支部
(公社)東京都柔道整復師会C会員
(社)日本柔道整復接骨医学会 認定柔道整復師
(社)日本超音波骨軟組織学会
【診療日・診療時間】
平日 9:00~13:00(受付12:30)15:00~20:00(受付20:00)
土曜 9:00~13:00(受付12:30)15:00~17:00(受付16:30)
祭日 9:00~13:00(受付12:30)
日曜休診
※急患随時受付・予約の必要はありません
【駐車場7台・駐輪場あり】
━━━━━━━━━━━━━━━━━━━━━━━━━━━━━━━