お電話でのお問い合わせ048-932-3139
院長の吉田です。
先日来院された外くるぶしの骨折の患者様です。
捻挫した日は脚をついて歩けなかったそうです。
翌日になり、やっと脚をつくことができるようになり自転車で来院されました。
足首をみると嫌な腫れ方をしております。
足首の背屈(脚の甲が上に持ち上がらない)できません。
足首の関節のはまりが悪いんですね。
前距腓靭帯の部分に圧痛(押したときの痛み)
外くるぶしに圧痛(押したときの痛み)
こうなると嫌な予感しかありません・・・

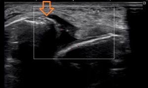
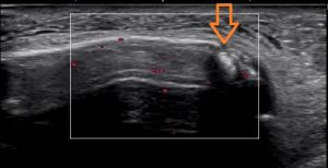
エコーで見るとこんな画像が・・・・・

矢印の先が折れている部分です。
白い線が骨です。まっすぐに線がつながってなければいけません。
しかし、矢印の先で離れてしまっているのわかりますか??
骨折と言っても、小さな骨が剥がれている感じです。
当院に4台あるLIPUSを行います。
40%骨が早く着くという特殊な治療器です。痛みも何も感じません。

治療後はギプス固定ですね。

おとなしくしていれば2~3日で痛みは引くでしょう。
それでも念のため顧問医の先生にレントゲン検査を依頼し、腓骨下端部骨折の診断を受けました。
今後は当院で加療させていただきます。
今年もあと1か月なので、早く良くならないと困りますね・・・
毎日来院していただき、早期回復を目指しましょう!.
エコーがなければ見逃されているでしょうね??
まぁ~
エコーがない整骨院にケガしていかないか?
当院にいらしたことある患者様が他院にいかれるとびっくりする方が多いですね。
日曜日は当院がやってないので、ほかの整骨院に行ったら治療器がなかった。
エコーがなかった。回数券を買わされた。などなど・・・
他に行ってみると当院の凄さがわかります(笑)
ご不明な点はお気軽にお問い合わせ下さい。
よろしくお願い致します。
==========12月の予定==========
12月13日【土曜日】午前中診療です
9時から13時までです 午後は臨時休診致します
何かご不明な点はお気軽にお問い合わせ下さい。
【お知らせ】
※マイナンバーカードがご利用いただけます。
4月より高校生の医療費が無料になりました。
そのため、高校生の患者様が多くご来院されます。
当院は医療機関ではなく、施術所になりますので、草加市内の「こども医療費」受給者しか無料になりません。
市外の方は従来通りお金が掛かります。
明細書つき領収書を発行しますので、そちらを市役所にお持ち頂き手続きをお願い致します。
ご不明な点はお気軽にお問い合わせ下さい。
【ご来院される方へ】
当院は予約制ではありません。
具合の悪い方・初診の方はお気軽にお越し下さい。
健康保険診療をご希望の方はマイナンバーカードか健康保険証をお持ち下さい。
草加市内のお子様はこども医療費の受給者証(ピンクの用紙)をお持ち下さい。
病院でお薬や湿布を頂いている方は当院では施術できません。
また、他院では高額な回数券を販売しているところもあるようです。
当院ではその様なことはございません。安心してご来院ください。
【当院HP】
http://www.yy-s.jp/
【交通事故HP】
http://yy-jiko.jp/
━━━━━━━━━━━━━━━━━━━━━━━━━━━━━━━
《お蔭様で26周年》
よしだ整骨院 048-932-3139
〒340-0004 埼玉県草加市弁天1-26-32(そうかし べんてん)
施術管理者:吉田善行(柔道整復師)
【所属団体】
(公社)日本柔道整復師会
(公社)埼玉県柔道整復師会 草加八潮支部
(公社)東京都柔道整復師会C会員
(社)日本柔道整復接骨医学会 認定柔道整復師
(社)日本超音波骨軟組織学会
【診療日・診療時間】
平日 9:00~13:00(受付12:30)15:00~20:00(受付20:00)
土曜 9:00~13:00(受付12:30)15:00~17:00(受付16:30)
祭日 9:00~13:00(受付12:30)
日曜休診
※急患随時受付・予約の必要はありません
【駐車場7台・駐輪場あり】
━━━━━━━━━━━━━━━━━━━━━━━━━━━━━━━